DIGITAL DENTAL LAB.
빠른 보철물 제작
원내 자체 기공소 운영
서울탑플란트치과는 청주에서 최대규모로
자체 기공실과 디지털 장비를 도입하여
보다 빠른 보철물 제작과 수정이 가능합니다.
디지털 기공소 바로가기
SEOUL TOP PLANT DENTAL CLINIC
서울대 출신 전문의
3인 협진진료
통합치의학과 전문의와 치과보존과 전문의가 협진하여
체계적인 진료, 환자 맞춤형 치료를 통해 밝은 미소와
맛있는 식사를 하실 수 있도록 최선을 다하겠습니다.
의료진 소개 자세히보기
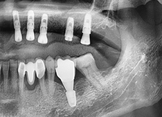
서울탑플란트 치료사례
어떠한 임플란트 케이스도 문제없이 치료가 가능합니다
청주치과, 청주임플란트 Q&A
Q1. 청주치과에서는 어떤 진료를 받을 수 있나요?
A1. 청주치과에서는 충치치료, 보철, 교정, 잇몸질환, 심미치료 등
전반적인 치과 진료를 받을 수 있습니다.
서울탑플란트치과는 특히 청주임플란트 분야에서 풍부한 시술 경험을 바탕으로
정밀한 진단과 개인 맞춤 시술을 제공합니다.
Q2. 청주임플란트 시술은 어떤 과정을 거치나요?
A2. 임플란트 시술은 CT 촬영으로 잇몸뼈 상태를 확인한 뒤,
인공치근을 식립하고 치유 기간을 거쳐 보철물을 장착하는 과정으로 진행됩니다.
서울탑플란트치과는 3D 디지털 가이드 시스템을 사용하여
절개 범위를 최소화하고 빠른 회복을 유도합니다.
Q3. 청주임플란트 시술은 통증이 심한가요?
A3. 청주임플란트 시술은 국소 마취 또는 수면 마취하에 진행되기 때문에
시술 중 통증은 거의 없습니다.
시술 후에는 약간의 붓기나 불편감이 있을 수 있으나,
처방된 약물과 주의사항을 잘 지키면 일상생활에 큰 불편 없이 회복할 수 있습니다.
Q4. 임플란트는 얼마나 오래 사용할 수 있나요?
A4. 임플란트는 꾸준한 구강관리와 정기검진을 통해
10년 이상 사용이 가능합니다.
서울탑플란트치과에서는 정기적인 점검을 통해
임플란트 주위 잇몸과 치조골을 건강하게 유지할 수 있도록 관리하고 있습니다.
Q5. 청주임플란트 시술 후 주의해야 할 점은 무엇인가요?
A5. 시술 후에는 음주·흡연을 삼가고,
부드러운 음식 위주의 식사를 권장합니다.
양치 시 시술 부위를 자극하지 않도록 주의하고,
정기적인 검진과 스케일링을 통해 청결한 구강 환경을 유지해야 합니다.
Q6. 서울탑플란트치과에서는 어떤 임플란트 시스템을 사용하나요?
A6. 서울탑플란트치과는 국제적으로 검증된 정품 임플란트 시스템을 사용하며,
개인의 잇몸뼈 상태와 교합 구조에 맞춘 맞춤형 시술을 제공합니다.
또한 3D 디지털 진단과 체계적인 사후관리로
청주임플란트 시술의 완성도를 높이고 있습니다.
※ 본 콘텐츠는 청주치과 및 청주임플란트 관련 일반 정보를 제공하기 위한 것입니다.
개인의 구강 상태나 시술 방법에 따라 결과가 다를 수 있으므로,
정확한 상담은 반드시 서울탑플란트치과 의료진과 진행하시기 바랍니다.